Skip to main content
The University of Iowa University of Iowa
Office of the Vice President for Research

Central Microscopy Research Facility

Site Main Navigation

  • About Us
      1. Staff
      2. Advisory Committee Members
      3. Iowa Microscopy Society
        1. Officers
        2. Microscopy Links
        3. Sponsors
      4. Collaborators
      5. Funding Opportunities (DSP)
      6. Facility Location
  • Using the Facility
      1. Research Examples
        1. TEM Image Gallery
        2. Scanning Electron Microscopy Images
        3. Confocal Microscopy Images
        4. Journal Covers
        5. Light Level Microscopy Images
      2. Setting up a CMRF account
      3. Reserve Instruments Online
  • Methodology
      1. Transmission Electron Microscopy
      2. Scanning Electron Microscopy
      3. Confocal Microscopy
      4. Light Microscopy
      5. X-ray Microanalysis
      6. Cryo-Techniques
      7. Histology
      8. Back-scattered Electron Imaging
      9. Negative Staining
      10. Metal Coating
      11. Enzyme Cytochemistry
      12. Immunocytochemistry
      13. Morphometry and Stereology
      14. Image Analysis
  • Instrumentation
      1. Reagents, Secondary Antibodies & Other Supplies
      2. Transmission Electron Microscopy
        1. Hitachi HT7800
      3. Scanning Electron Microscopy
        1. Hitachi S-4800
      4. Light Microscopy
        1. Horiba ViewSizer 3000
        2. Leica Aperio Ariol Digital Slide Scanner
        3. MicroBrightField Stereology System
        4. Olympus BX-61
        5. Olympus BX-63
        6. Olympus IX-81 (Inverted)
        7. Olympus Stereoscope SZX12
        8. Leica AM TIRF MC
        9. Zeiss Observer Z1
      5. Confocal/Super Resolution Microscopy
        1. Leica SP8 STED
        2. Zeiss LSM 710
        3. Zeiss 980 AiryScan2
      6. Sample Preparation
        1. Quorum Technologies EMS 150 T ES Iridium Sputter Coater
        2. Leica LMD 7000
      7. Image Analysis (inst)
  • Online Scheduling

Breadcrumb

  1. Home
  2. Using the Facility
  3. Research Examples
  4. Light Level Microscopy Images

Light Level Microscopy Images

Research Examples

  • Research Examples
    • TEM Image Gallery
    • Scanning Electron Microscopy Images
    • Confocal Microscopy Images
    • Journal Covers
    • Light Level Microscopy Images
  • Setting up a CMRF account
  • Reserve Instruments Online

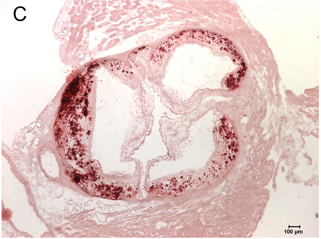
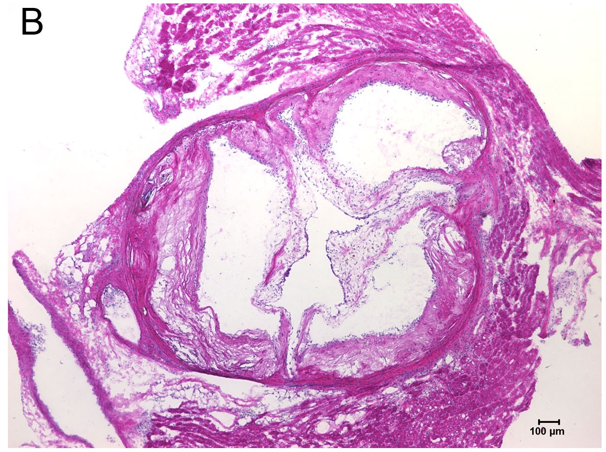
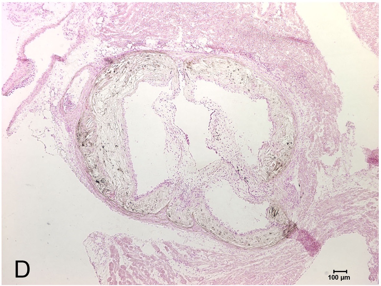
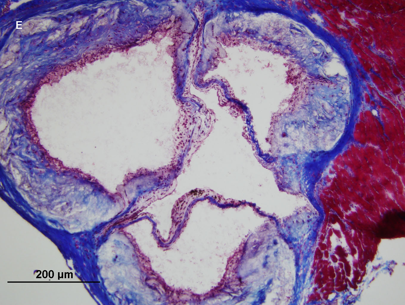
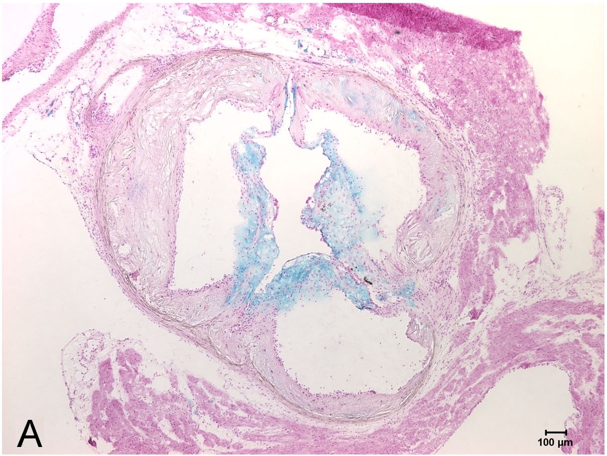
Mouse Heart Valve-Various Stains

Alcian Blue Stain for  Polysaccharides
Hematoxylin and Eosin
Alizarin Red Stain for Calcification
Von Kossa Stain for Calcification
Masson's Trichrome

Heart Valve Stained with Oil-Red-O

Heart Valve Oil-red-O

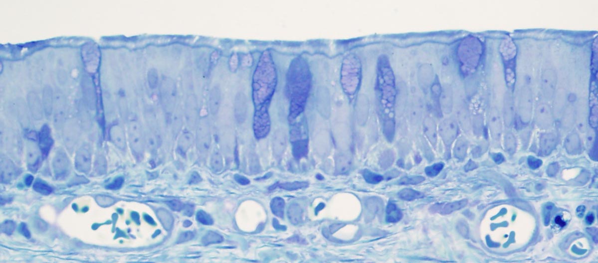
Newborn Pig Airway

Newborne Pig Airway
The University of Iowa University of Iowa

Central Microscopy Research Facility

Office of the Vice President for Research

85 Eckstein Medical Research Building
Iowa City, IA 52242
319-335-8143

Social Media

  • Microscopy At Iowa

Admin Login

Footer tertiary

  • Thank a staff member
  • © 2026 The University of Iowa
  • Privacy Notice
  • UI Nondiscrimination Statement
  • Accessibility