Friday, December 19, 2025

The winners are:

 
  • 1st place, Lalit Gautam
    • The sample is a fully differentiated (28 Day) airway epithelial monolayer culture on Air Liquid Interface (ALI)
    • Green : Acetylated α-tubulin
    • Red: F-actin
The sample is a fully differentiated (28 Day) airway epithelial monolayer culture on Air Liquid Interface (ALI)
  • 2nd place, Milad Arzani
    • Colored scanning electron microscope (SEM) image of a human blood clot.
Colored scanning electron microscope (SEM) image of a human blood clot
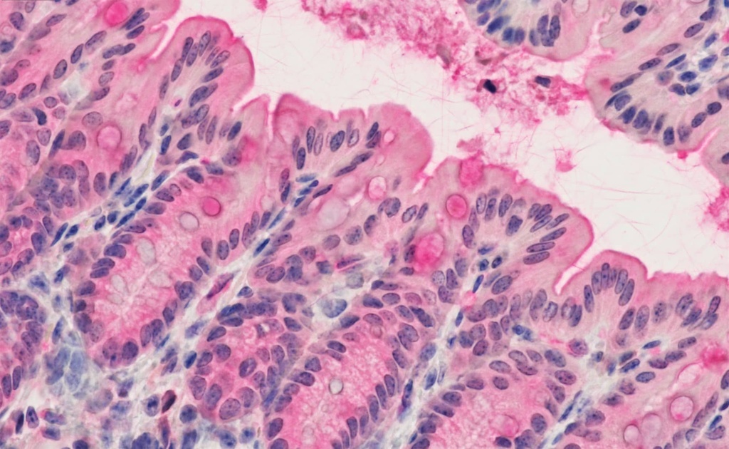
  • 3rd place, Xingshan Jiang
    • Immunohistochemistry of mouse colon
    • Pink color show fatty acid-binding protein
Immunohistochemistry of mouse colon


Congratulations to the winners!

And thank you to all who submitted images this year. We can't wait to see what images you submit next year!

The goal of The Iowa Art in Science Contest is to recognize the combination of outstanding scientific discovery and artistic appeal inherent to microscopy research. Images from any mode of microscopy can be used, and any form of colorization, manipulation and compositing is completely acceptable. Be creative, have fun!